The Subchondroplasty® (SCP®) Procedure
Patients who have subchondral bone defects—also known as Bone Marrow Lesions (BML)—may be candidates for a new, minimally-invasive surgery called the Subchondroplasty (SCP®) Procedure. This technique targets and fills bone defects with a hard-setting bone substitute material (BSM) with physical and chemical properties similar to cancellous bone. As the body heals the defect, the BSM will be replaced with new bone.


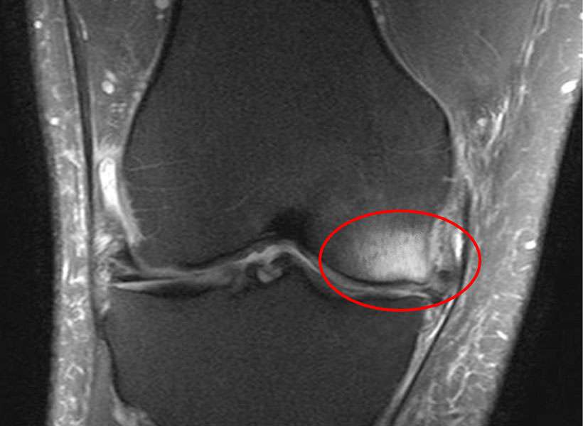
What is a Bone Marrow Lesion?
BML defects are often-painful defects of the spongy cancellous bone near a joint. They can be found in the bone near any joint that experiences weight-bearing or repetitive motion stress and strain. In some patients, these defects are a result of a bone injury that doesn’t heal properly. In others, BML defects are a stress reaction from overuse or altered joint mechanics.
BML are typically not visible on X-rays. They are diagnosed using certain types of MRI, where they appear as a hazy white area against the background of darker bone. Pathologists have shown that these BML represent a healing response surrounding trauma, such as microtrabecular fractures of the subchondral bone.
If this healing response fails, physicians usually recommend a course of conservative care, including pain meds, crutches, joint braces, injections, among others. In some patients, this treatment will allow the body to heal the subchondral bone defect. If conservative care is unsuccessful, however, the SCP® procedure may be an option.

The Surgical Process
The SCP® Procedure is usually performed along with arthroscopy (“scoping”) of the nearby joint, to allow for treatment of any pathology inside the joint. You will be anesthetized for the procedure. During the SCP® surgery, a small, drillable cannula is inserted minimally-invasively into the area of the bone defect. Intraoperative X-ray is used to assist with targeting the defect. AccuFill® Bone Substitute Material is then hydrated and mixed into an injectable paste, and is delivered through the cannula to fill the bone defect. Once the BSM has hardened, the cannulas are removed and surgical wounds closed.
Most SCP® procedures are performed in an outpatient setting, with patients returning home the same day of the procedure. Postoperatively, a short recovery course is recommended, similar to that of arthroscopy.
The following is common for most patients:
- For the first 48-72 hours after surgery, patients will often experience significant pain in the operative area. In most cases, pain medication is prescribed to treat these symptoms.
- For the initial period, it is recommended that you walk and stand with crutch support. The use of crutches is typically reduced as tolerated.
- A course of physical therapy and activities to help you regain strength and maintain mobility of your joint.
Follow this advice as you recover.

